肺炎 レントゲン 白い なぜ
胸部x線検査 看護roo カンゴルー
まさか新型コロナに感染 不安な人のための自己診断 心理対応全攻略ガイド 人民網日本語版 人民日報
特集2 慢性呼吸不全 確実な予防 治療法は禁煙のみ 知らぬ間に病状がすすむことも 全日本民医連
胸部レントゲン検査のご案内 医療法人 植谷医院からのお知らせ
Www Kansensho Or Jp Uploads Files Topics 19ncov Covid19 Casereport 0302 Pdf
Www Kansensho Or Jp Uploads Files Topics 19ncov Covid19 Casereport 0304 Pdf
肺炎について 疾患について ご利用案内トップ 社会医療法人財団 慈泉会 相澤病院
コロナウイルスに破壊された肺の写真が怖すぎると話題に ニコニコニュース
健康生活あんないナビ 疲労回復 ストレス 慢性疲労症候群 Cfs
輸血関連急性肺障害にご注意ください
小林クリニック 症例集
Http Www Jata Or Jp Rit Rj 369 16 Pdf
2
医者から 肺に白い影が見える と言われてct検査を受けた結果 ロケットニュース24
Dm Ctg 筋強直性ジストロフィーの多臓器症状 構音嚥下障害
放射線科 Qa 埼玉成恵会病院
かぜと抗生物質 一般社団法人 安佐医師会
新型ウイルス重症者 肺に損傷残る恐れ 英医師ら警告 cニュース
肺炎 心臓弁膜症 手術 みどり病院 神戸市西区
90歳女性いわく 女学生の頃から肺が白い 日経メディカル
肺 が 痛い コロナ 両肺に起きる急激な異変に注意 新型コロナ感染者を診察した医師3人を独自取材 大きな2つの特異性とは
間質性肺炎 近畿中央呼吸器センター 診療部
肺がん検診 がん検診 公益財団法人東京都予防医学協会 元気で長生き をめざす皆さんをサポートしています
X線診断の基礎知識 レントゲン写真の読み方 簡単解説
医者から 肺に白い影が見える と言われてct検査を受けた結果 ロケットニュース24
もう1段上級を目指す胸部x線診断の心構え 関順彦教授 ブログ
胸部レントゲン検査のご案内 医療法人 植谷医院からのお知らせ
呼吸器系 肺 検査 医療法人財団医親会 Obpクリニック 健康診断 人間ドック 大阪市 中央区
Www Igaku Shoin Co Jp Nwsppr Pdf 3248 Pdf
X線撮影 Wikipedia
レントゲンに写るもの 医療法人社団 玲瓏会 金町中央病院
放射線科 Qa 埼玉成恵会病院
11 胸部x線 読影セミナー Web医事新報 日本医事新報社
新型コロナによる肺炎 通常の肺炎と何が違うのか ヘルスup Nikkei Style
胸部x線検査 胸のレントゲン で何が分かるの Open Doctors オープンドクターズ
デジタルレントゲン あいむブログ あいむ動物病院 西船橋
デジタルレントゲン あいむブログ あいむ動物病院 西船橋
新型肺炎 重症化しやすい人は 糖尿病や高血圧ご注意 新型コロナウイルス 朝日新聞デジタル
Tweet 仰天ニュース Caebv とは 声優 松来未祐さんの闘病生活が話題に Naver まとめ
結核症 慶應義塾大学病院 Kompas
胸部x線写真で ここまでわかる やさしイイ呼吸器教室
京都市で動物の予防接種や去勢 避妊手術なら ベトカム動物病院 17年1月
胸に水が溜まっています 肺水腫 胸水 心嚢水 それってどういう事 上野の動物病院は東京都台東区 文京区 千代田区の上野の森どうぶつ病院
胸部単純x線撮影検査 きょうぶたんじゅんxせんさつえいけんさ とは コトバンク
胸部x線検査 看護roo カンゴルー
横浜市西区の内科医川村昌嗣の勉強会参加ブログです
咳が止まらない 咳外来の実際 藤田医院 京都市 呼吸器内科 喘息 咳 息切れ
まとめて読む 突然 結核 の診断を受けて 朝日新聞デジタル
肺炎になるとレントゲンに白い影が見えるのは何故 高野山真言宗 やすらか庵
胸部x線検査 看護roo カンゴルー
医師監修 作成 肺炎の原因は 診断はどうやってつけるの Medley メドレー
Www Jmedj Co Jp Files Item Books pdf 978 4 7849 4421 7 Pdf
医師監修 作成 肺炎の原因は 診断はどうやってつけるの Medley メドレー
肺がん検診 がん検診 公益財団法人東京都予防医学協会 元気で長生き をめざす皆さんをサポートしています
胸部エックス線画像で異常があり 厚い壁と内部に空気を持つ影 空洞影と呼びます と言われました 一般社団法人日本呼吸器学会
健康生活あんないナビ 疲労回復 ストレス 慢性疲労症候群 Cfs
新型コロナによる肺炎 通常の肺炎と何が違うのか ヘルスup Nikkei Style
小林クリニック 症例集
2
Http Iveat Jp Thoraxbasic Pdf
新型コロナウイルスに命を奪われるとき 体内で何が起きるのか クーリエ ジャポン
肺がんについて 肺がん相談室 肺癌のセカンドオピニオン 診察
X線診断の基礎知識 レントゲン写真の読み方 簡単解説
胸部x線写真で ここまでわかる やさしイイ呼吸器教室
肺がんについて 肺がん相談室 肺癌のセカンドオピニオン 診察
肺に白い影 医師も驚愕 原因はまさかの 過剰コロナ対策
せぼねの豆知識 特定非営利活動法人兵庫脊椎脊髄病医療振興機構
その咳 本当にかぜ 間違いやすい肺炎に注意 ココカラクラブ ドラッグストアのココカラファイン
2
特集2 慢性呼吸不全 確実な予防 治療法は禁煙のみ 知らぬ間に病状がすすむことも 全日本民医連
呼吸器内科 東北大学病院
若い人でも発症しやすい 好酸球性肺炎 とは 医療 健康tips 毎日新聞 医療プレミア
K Enshu Ja Shizuoka Or Jp Jacms Wp Content Uploads 05 87f2679ea3cba0c1b3f4a69d Pdf
口腔ケアと肺炎 上尾の歯科 北上尾歯科院長ブログ
肺炎について 疾患について ご利用案内トップ 社会医療法人財団 慈泉会 相澤病院
胸部レントゲン写真をどのように説明するか 呼吸器内科医
X線診断の基礎知識 レントゲン写真の読み方 簡単解説
大分健生病院 小児科だより
Http Dr Urashima Jp Pdf Sars Pdf
肺がんを検診で早期発見 Ct検査 胸部x線検査 確定診断 とは Nhk健康チャンネル
Www Rishou Org Wp Content Uploads 06 76d8611e1f538de81a0a5ab167e7ca1d Pdf
肺がんの基礎知識 東京慈恵会医科大学附属柏病院
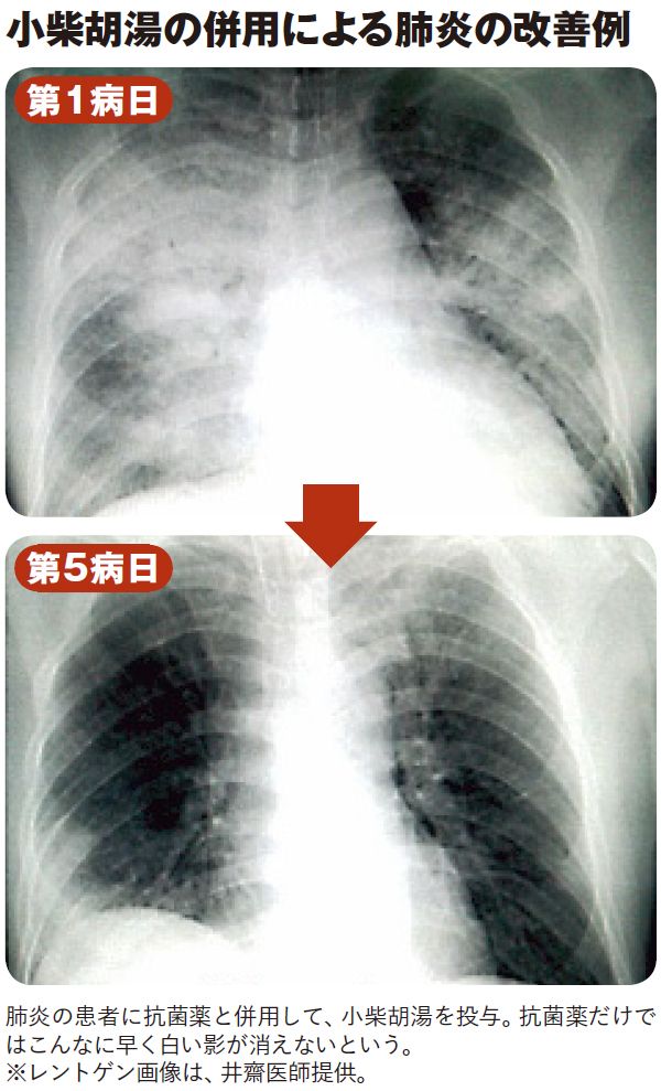
なぜ 漢方薬安全神話 は崩壊してしまったのか あの有名な薬にはエビデンスがない 3ページ目 President Online プレジデントオンライン
肺癌を見落とさないための読影 関順彦先生 ブログ
Http Hp Brs Nihon U Ac Jp Vet Masui Pdf
X線診断の基礎知識 レントゲン写真の読み方 簡単解説
肺がんの基礎知識 東京慈恵会医科大学附属柏病院
新型コロナ感染症 難しい 肺炎 診断を専門家に聞く 石田雅彦 個人 Yahoo ニュース
胸部x線検査 看護roo カンゴルー
デジタルレントゲン あいむブログ あいむ動物病院 西船橋
K Enshu Ja Shizuoka Or Jp Jacms Wp Content Uploads 05 87f2679ea3cba0c1b3f4a69d Pdf
検査値異常の意味
呼吸器系 肺 検査 医療法人財団医親会 Obpクリニック 健康診断 人間ドック 大阪市 中央区
放射線科 診療科 部門のご案内 医療法人樫本会 樫本病院
動物病院tac たばる動物病院 宮崎市 トピックス 症例のご紹介
新型コロナ感染症 難しい 肺炎 診断を専門家に聞く 石田雅彦 個人 Yahoo ニュース
大分健生病院 小児科だより
胸部x線検査 胸のレントゲン で何が分かるの Open Doctors オープンドクターズ
咳が止まらない 咳外来の実際 藤田医院 京都市 呼吸器内科 喘息 咳 息切れ
Www Jiho Co Jp Portals 0 Ec Product Ebooks Book 539 539 Pdf


